Nazovi
+385 1 6542 655

Rezerviraj termin
Ovdje

Dokazano siguran, učinkovit i brz način izbjeljivanja zubi Philips ZOOM tehnologijom

Važnost estetike

Danas je vanjski izgled vrlo važan, a s obzirom na to da je osmijeh prvo što ugledamo na osobi, želimo se uvjeriti da on bude besprijekoran. Osim što vraća prirodan i mladolik izgled, lijep osmijeh otkriva važnu komponentu zdravlja. Bjelinu zubi određuju neki faktori poput genetskih predispozicija, starenja i drugog, a ne samo negativni faktori poput uzimanja antibiotika, konzumiranja duhana, kave ili alkohola. Bijele zube povezujemo ponajprije s dobrim higijenskim i životnim navikama. S obzirom na to da na neke faktore tamnjena zubi ne možemo sami utjecati, tehnologija nam je omogućila da naš osmijeh zablista ukoliko to poželimo uz pomoć Philips ZOOM lampe koju možete pronaći u Poliklinici ARENA.

Nekad izbjeljivanje zubi nije bilo tako rašireno, ali porastom svijesti o važnosti estetike, ovaj tretman je postao sasvim uobičajen i veoma tražen.

U modernom užurbanom svijetu svima nam nedostaje vremena, a svi znamo da je važno pronaći vrijeme za sebe. Philips je prepoznao vaše potrebe, pa je stoga izbjeljivanje ZOOM lampom kao stvoreno upravo za vas. Naime, jedna posjeta i samo 45 minuta je dovoljno da izbijelite zube do 8 nijansi. Zvuči sjajno, zar ne?

Prednosti zahvata

  • brzina
  • drastična odmah primjetna promjena
  • lijep osmijeh
  • 8 nijansi bjelji zubi
  • samopouzdanje
  • rezultati koji traju godinama
Rezervirajte tretman

Kandidati

Dobna granica za početak izbjeljivanja zubi je 16 godina (uz pristanak roditelja ili odgovorne osobe), a gornja granica ne postoji. Jedini uvjet koji pacijent mora ispunjavati jest taj da ima prirodne i zdrave zube. Prilikom prvog specijalističkog pregleda, vaš stomatolog će vam odgovoriti na pitanje jeste li vi idealan kandidat za izbjeljivanje, imajući uvid u vaše stanje sa zubima. Ukoliko je potrebno napraviti liječenje zubi, bilo kakve konzervativne stomatološke radove, otklanjanje zubnih naslaga i drugo, to je obavezno učiniti prije. Naravno, osim što je izgled zubi važan, važnije od toge je da su zdravi. Ako ste primijetili osjetljivost zuba na toplo ili hladno, također je važno da to napomenete stomatologu. Naši stomatolozi ovaj tretman iz sigurnosnih razloga na preporučuju trudnicama i ženama koje doje.

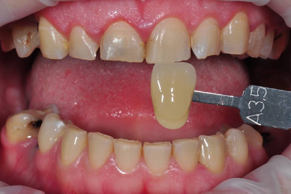
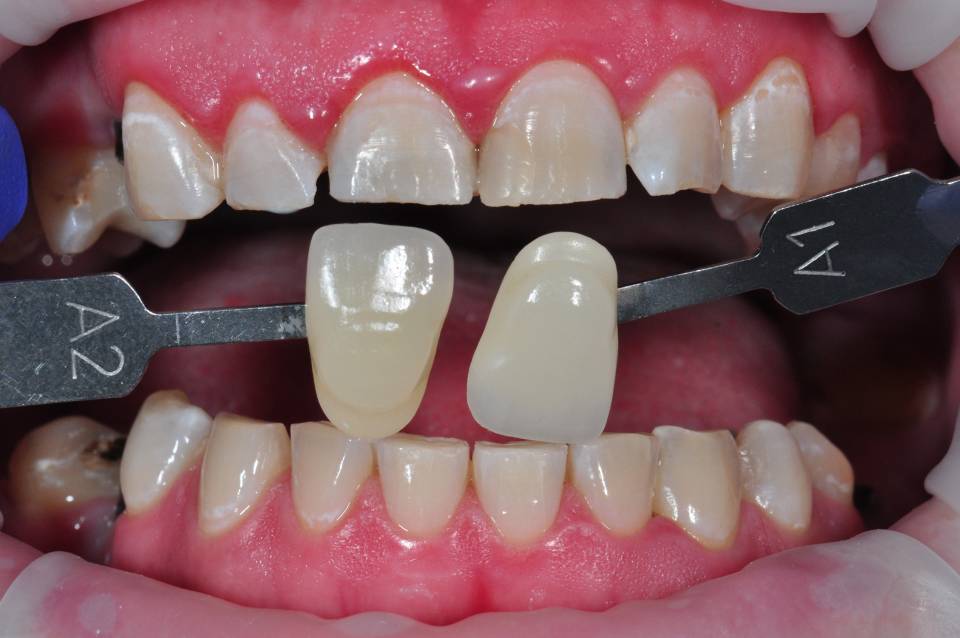
Raspon bjeline zubi ovisi o nekoliko faktora kao što su boja tena, bjeloočnice, ali prije svega želja pacijenta. Stomatolog će se potruditi predložiti vam koliko tretmana bi bilo najbolje kako biste postigli prirodnu bijelu nijansu zubi baš kakvu ste oduvijek željeli.

Napomena: Bilo kakav protetski rad (mostovi, krunice, ljuskice i ispuni) nije moguće izbjeljivati. Prilikom izrade ovakvog rada bira se njegova boja stoga naknadno izbjeljivanje protetskih radova nije dio uobičajene prakse.

Postupak

  • Tijek zahvata

    Nakon što ste napravili prvi korak tj., prvi specijalistički pregled, saznali da ste pravi kandidat za izbjeljivanje i odlučili se na ovaj tretman, spremni ste za stvaranje novog osmijeha u suradnji sa stručnjacima iz Poliklinike ARENA. Tretman izbjeljivanja započinje tako što će vam stomatolog nanijeti sloj vodikovog peroksida na zube koji pospješuje učinak izbjeljivanja.

    Jedan tretman izbjeljivanja ZOOM lampom traje 45 minuta, a omogućava bjelji osmijeh i do 8 nijansi. Nova boja ovisi o stanju zubne cakline i genetskim predispozicijama za pojavu osjetljivosti zuba kod pacijenta. Za vrijeme trajanja ovog potpuno bezbolnog tretmana, sve što trebate učiniti je opustiti se i zamišljati svoj novi osmijeh. Možemo reći da je ovaj estetsko-kozmetički postupak toliko relaksirajuć da možda čak uspijete i odspavati.

  • Nakon zahvata

    Prošlo je 45 minuta i stomatolog vam nanosi ACP gel tj., gel protiv osjetljivosti zuba. 30 minuta nakon njegovog nanošenja važno je ne konzumirati bilo kakvu hranu i piće, a jednu dozu gela ponijet će te sa sobom i kod kuće nanijeti tanak sloj na zube prije spavanja. Ukoliko zaista želite zadržati efekt izbjeljivanja što duži vremenski period, morat ćete prilagoditi svoje navike (ukoliko su one bile drukčije).

    Održavanje bijele boje zubi uključuje korištenje zubnog konca, interdentalnih četkica i drugih preparata za održavanje pravilne higijene usne šupljine. Obojena i gazirana pića poželjno je svesti na minimum ili ih konzumirati uz pomoć slamke (kako ne bi došli u direktan kontakt sa zubima) te smanjiti unos antibiotika ako je to moguće. S druge strane, preporučuje se konzumacija sljedećih namirnica: voda, zeleni čaj, bijeli kruh, riža, tijesto, krumpir, bijelo meso, jabuke, banane i slično.

    Važno je napomenuti redovite godišnje posjete stomatologu koje uključuju profesionalno uklanjanje zubnih naslaga.

do 8 nijansi

svjetlija boja zubi

samo 45 minuta

trajanje ZOOM tretmana

više od 5 milijuna

ZOOM izbjeljivanja u svijetu

Rezultati

Kontakt

}